Zahnersatz mit CAD/CAM-Technologie – In wenigen Stunden zu einem neuen Lächeln
Wussten Sie, dass Sie heute Zahnersatz schon innerhalb eines einzigen Tages erhalten können – komplett ohne Abdruckmasse und Provisorium?
Stellen Sie sich vor, Sie verlassen die Praxis nach nur einem Termin schon wieder mit einem perfekten, ästhetisch vollwertigen Zahn. Moderne CAD/CAM-Technologie macht genau das möglich.
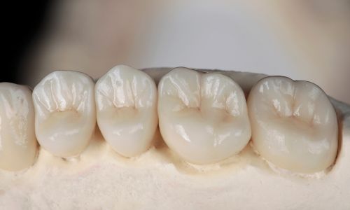
Niemand möchte aufwändige Abdrücke, mehrere Zahnarztbesuche oder ein unangenehmes Provisorium. Bei uns profitieren Sie von innovativer, computergestützter Zahnmedizin: Mit dem CEREC-System stellen wir Kronen, Inlays, Teilkronen und Brücken aus hochwertiger Keramik ‒ exakt passend und ästhetisch anspruchsvoll ‒ direkt in der Praxis her. Und das alles innerhalb weniger Stunden!

Wie funktioniert die CAD/CAM-Technologie?
Nach der Präparation des Zahns nehmen wir mithilfe eines Intraoralscans ein digitales 3D-Bild Ihrer Zähne auf – ganz ohne Abdruckmasse und Würgereiz. Am Monitor wird der Zahnersatz mithilfe modernster Computertechnik virtuell geplant und individuell konstruiert. Sobald das Design steht, schleift eine Fräseinheit aus einem Keramikblock Ihre passgenaue Krone, Brücke, Teilkrone oder ein Inlay mit höchster Präzision heraus. Nach einer professionellen Veredelung kann der Zahnersatz meist im selben Termin eingesetzt werden.
Ihre Vorteile auf einen Blick
-
Kein unangenehmer Abdruck: Der digitale Scan ersetzt das klassische Abdruckverfahren vollständig.
-
Zahnersatz in nur einer Sitzung: Kein Provisorium, kein zusätzlicher Folgetermin – alles direkt vor Ort.
-
Natürliche Ästhetik und höchste Präzision: Die modernen Keramiken sind von natürlichen Zähnen kaum zu unterscheiden und besonders verträglich.
-
Minimaler Zeitaufwand: Von der Erfassung bis zum fertigen Zahnersatz vergehen meist nur ein bis zwei Stunden.
-
Langlebig und schonend: Dank dem digitalen Herstellungsverfahren passt der Zahnersatz perfekt – für stabilen Sitz und ein gutes Gefühl.

Für wen eignet sich der Zahnersatz aus der Praxis?
Egal ob Sie einen einzelnen Zahn ersetzen, eine größere Restauration brauchen oder Wert auf einen ästhetisch perfekten Frontzahn legen – die CAD/CAM-Technologie ist für fast alle Versorgungen und Altersgruppen geeignet. Besonders gefragt ist sie, wenn wenig Zeit zur Verfügung steht oder hohe Präzision und sofortige Ästhetik gewünscht sind.
Was sagen unsere Patienten?
Viele Patienten sind überrascht, wie komfortabel und schnell wir heute eine Krone oder ein Inlay fertigen können. Besonders loben sie die sofort sichtbaren ästhetischen Ergebnisse und das entspannte Gefühl, nach nur einem Besuch schon mit dem ‚neuen Zahn‘ die Praxis verlassen zu können.

Neue Lebensqualität an nur einem Tag
Die computergestützte Anfertigung von Zahnersatz revolutioniert die Zahnmedizin. Sie profitieren von Zeitersparnis, Präzision und Ästhetik ‒ alles in einem Schritt, ganz ohne Wartezeit oder Kompromisse. So einfach kann Zahnersatz heute sein!

