Form, Funktion und Planung im Gleichgewicht
Ästhetik ist bei uns kein „Look“, sondern das Ergebnis einer klaren Planung. Wir gestalten Zähne nicht isoliert – wir beurteilen Form, Farbe und Proportionen im Kontext von Biss, Funktion und langfristiger Stabilität.
Viele Wünsche lassen sich minimalinvasiv lösen. Andere Situationen benötigen eine rekonstruktive Gesamtlösung – etwa bei starkem Verschleiß durch Attrition oder Abrasion. Entscheidend ist nicht das schnellste Verfahren, sondern die passende Lösung für Ihre Ausgangslage.
Ergänzend relevant: Vorsorge | Funktion / CMD | Prothetik

Wenn Form und Farbe präzise korrigiert werden sollen
Veneers können bei geeigneter Ausgangslage sehr natürliche Ergebnisse ermöglichen – vorausgesetzt, Form, Proportionen und Belastung werden sauber geplant.
- Indikationen: Formkorrekturen, leichte Asymmetrien, Farb- und Oberflächenharmonisierung
- Wichtig: realistische Erwartungen, Material- und Belastungsplanung, Pflege & Kontrollen
- Alternativen prüfen: Bleaching, minimalinvasive Kompositlösungen, Teilkronen bei Substanzschutz
Mehr Details: Veneers

Wenn Substanzschutz und Stabilität im Vordergrund stehen
Teilkronen und adhäsive Rekonstruktionen können Zähne schützen und gleichzeitig ästhetisch sehr hochwertig sein – besonders bei Defekten oder verschlissenen Kauflächen.
- Konzept: Stabilität herstellen, Substanz erhalten, Belastung kontrollieren
- Planung: Kontaktpunkte, Kauflächen, Materialwahl – passend zur Funktion
- Ästhetik entsteht als Folge einer sauberen Rekonstruktion
Mehr Details: Teilkronen / Rekonstruktion

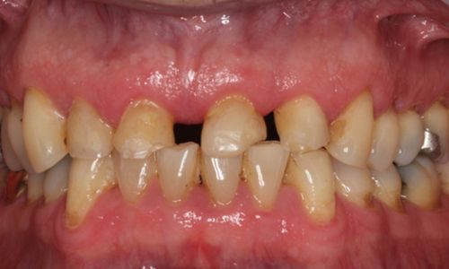
Bisshebung bei starker Attrition oder Abrasion
Wenn durch Verschleiß „Zahnhöhe“ verloren geht, sind Einzelmaßnahmen häufig nicht ausreichend. Dann braucht es eine rekonstruktive Planung, die Funktion und Ästhetik gemeinsam stabilisiert.
- Diagnostik & Planung: Bisslage, Belastungsmuster, verfügbare Höhe, Schutzkonzept
- Testphase möglich (Mock-up/Provisorik), bevor final versorgt wird
- Ziel: Stabilität im System – nicht nur „schönere Zähne“
Mehr Details: Bisshebung / Rekonstruktion | Funktion / CMD

Wenn vor allem die Zahnfarbe stört
Bleaching kann Zähne sichtbar aufhellen – sinnvoll geplant und zahngesundheitsorientiert. Wir klären dabei immer Grenzen und Ausgangslage.
- Aufhellung betrifft natürliche Zahnsubstanz – Füllungen und Kronen verändern ihre Farbe nicht
- Sinnvolle Kombination: erst Bleaching, dann ggf. Feinkorrektur (z. B. minimalinvasiv) oder Veneers
- Empfindlichkeiten sind möglich – wir besprechen Schutz und Vorgehen
Mehr Details: Bleaching

Ergebnis sichtbar machen, bevor umgesetzt wird
Gute Ästhetik entsteht selten „im Behandlungsstuhl“. Entscheidend ist die Planung: Proportionen, Kantenverlauf, Kontaktpunkte, Funktion und Belastung.
Je nach Situation arbeiten wir mit digitalen Planungsschritten, Modellen und – wenn sinnvoll – einer Testphase (Mock-up/Provisorik), damit Sie Form und Wirkung vor einer endgültigen Versorgung einschätzen können.

Unsichtbare Zahnstellungskorrektur – planbar und zurückhaltend
Kleine bis mittlere Fehlstellungen lassen sich oft mit transparenten Alignern korrigieren – ohne sichtbare Brackets. Voraussetzung ist eine saubere Diagnostik und realistische Zieldefinition.
- Ziel: harmonische Zahnstellung als Basis für Ästhetik und Reinigbarkeit
- Kombination möglich: erst Aligner, dann Bleaching oder Veneers / Feinkorrekturen
- Kontrolliertes Vorgehen mit Verlaufskontrollen
Mehr Details: Aligner

Injection Technique – additiv, substanzschonend, ausgewählt
Kleine Formkorrekturen lassen sich in geeigneten Fällen additiv mit Komposit umsetzen – planbar und zurückhaltend. Grenzen und Belastungssituation müssen dabei sauber beurteilt werden.
Wenn Sie sich für diese minimalinvasive Technik interessieren, erklären wir Indikationen, Grenzen und Alternativen transparent.
Mehr Details: Injection Technique

Nächster Schritt
Wenn Sie eine strukturierte Einschätzung wünschen: Ziele klären, Ausgangslage einordnen, Optionen realistisch planen.
Häufige Fragen
Kurz beantwortet – verständlich und realistisch.
Was ist der erste Schritt bei ästhetischen Wünschen?+
Einordnung der Ausgangslage und Ziele: Farbe, Form, Biss/Funktion und vorhandene Versorgungen. Erst danach lässt sich sinnvoll planen.
Veneers oder Bleaching – was kommt zuerst?+
Oft ist Bleaching ein guter erster Schritt. Danach kann man Formkorrekturen gezielter planen. Es hängt aber von Ausgangslage und Ziel ab.
Wann sind Teilkronen sinnvoll?+
Wenn Substanzschutz und Stabilität im Vordergrund stehen – z. B. bei Defekten, großen Füllungen oder verschlissenen Kauflächen.
Warum ist Planung bei Bisshebung so wichtig?+
Weil es um ein System geht: Bisslage, Belastung, Muskulatur und Stabilität. Eine Testphase kann helfen, Entscheidungen abzusichern.
Sind Aligner immer möglich?+
Nicht jede Fehlstellung ist gleich geeignet. Eine Diagnostik klärt, was realistisch ist – und ob Alternativen sinnvoller sind.
Was ist die Injection Technique?+
Eine minimalinvasive, additive Formkorrektur mit Komposit. Sie ist planbar, hat aber klare Grenzen – die wir individuell beurteilen.
Wie natürlich wirkt das Ergebnis?+
Ein natürliches Ergebnis entsteht über Proportionen, Oberflächen und Lichtwirkung – nicht über maximale Helligkeit. Das ist Teil der Planung.
Was ist mit bestehenden Kronen/Füllungen?+
Diese müssen in die Planung einbezogen werden (Farbwirkung, Stabilität, Austauschbedarf). Auch das gehört zur Einordnung.
Wie lange dauert so eine Planung?+
Das hängt von Ziel und Ausgangslage ab. Kleine Schritte sind oft schneller, Rekonstruktionen benötigen mehr Planung und ggf. eine Testphase.

