Minimalinvasive Formkorrektur – wenn Planung stimmt
Die Injection Technique ist ein additives Verfahren, mit dem sich Formkorrekturen an Zähnen präzise und substanzschonend umsetzen lassen – vorausgesetzt, die Indikation passt und die Planung ist sauber.
Im Kern geht es nicht um „schnelle Ästhetik“, sondern um kontrollierte Veränderung: Kanten, Konturen und kleine Defekte können aufgebaut werden, ohne gesunde Zahnsubstanz unnötig zu reduzieren.
Entscheidend ist die Reihenfolge: erst planen, dann umsetzen. Ziel ist ein Ergebnis, das im Alltag funktioniert – optisch und funktionell.

Wann eine additive Formkorrektur sinnvoll ist – und wann nicht
Die Injection Technique eignet sich für klar definierte, überschaubare Korrekturen – nicht für jede ästhetische Ausgangssituation.
Das Verfahren kann sinnvoll sein, wenn:
- kleine Formabweichungen ausgeglichen werden sollen
- Frontzahnkanten ergänzt werden müssen
- leichte Lücken optisch harmonisiert werden sollen
- der Zahnschmelz erhalten bleiben soll
- minimale Asymmetrien korrigiert werden sollen
Die Technik ist additiv – das bedeutet: Es wird Material ergänzt, nicht gesunde Substanz reduziert.
Grenzen bestehen u. a. bei stark ausgeprägten Fehlstellungen oder größeren Defekten. Dann können andere Verfahren sinnvoller sein.

Warum jede additive Korrektur mit Analyse beginnt
Die Injection Technique ist nur so präzise wie ihre Planung.
Bevor eine Formkorrektur umgesetzt wird, analysieren wir u. a.:
- Zahnstellung
- Bisssituation
- funktionelle Belastung
- vorhandene Substanz
- ästhetische Proportionen
Gerade im Frontzahnbereich beeinflussen minimale Veränderungen das Gesamtbild deutlich. Je nach Situation kann die Vorplanung fotografische Analyse, digitale Simulation und eine Vorab-Darstellung (Mock-up) umfassen.
Bei funktionellen Auffälligkeiten: CMD & Funktion · Bei größeren Veränderungen: Veneers

Wie die Injection Technique praktisch umgesetzt wird
Die Behandlung basiert auf einer zuvor definierten Planung – nicht auf freihändiger Formgebung.
Nach der Analyse wird eine individuelle Schablone erstellt. Sie dient als präzise Formvorgabe für die additive Ergänzung.
Der Ablauf erfolgt in mehreren Schritten:
- Vorbereitung der Zahnoberfläche
- exakte Positionierung der Schablone
- Einbringen eines fließfähigen Komposits (Flowable)
- kontrollierte Aushärtung
- Entfernung der Schablone
- Feinanpassung, Politur und Oberflächenfinish
Durch die Schablonentechnik lässt sich die geplante Form reproduzierbar übertragen. Material, Belastungsrichtung und Funktion werden dabei stets berücksichtigt.

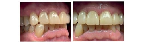
In welchen Situationen die Injection Technique sinnvoll sein kann
Die additive Technik eignet sich vor allem für klar umrissene, überschaubare Korrekturen im sichtbaren Bereich.
Typische Situationen können sein:
- eine abgebrochene oder verkürzte Frontzahnkante
- kleine Formunterschiede zwischen benachbarten Zähnen
- leichte Zahnlücken im Frontzahnbereich
- ästhetische Unregelmäßigkeiten nach Zahnbewegungen
- minimaler Substanzverlust durch Abrasion oder Attrition
Grenzen bestehen bei stark ausgeprägten Fehlstellungen, erheblichen Substanzdefekten oder instabiler Bisssituation. Bei Knirschen oder Pressen ist eine funktionelle Einordnung besonders wichtig.
Vertiefend: Veneers · CMD & Funktion · Aligner

Wie stabil ist eine additive Formkorrektur?
Die Haltbarkeit hängt weniger von der Technik selbst ab – als von Belastung, Pflege und funktioneller Einbindung.
Die Stabilität wird u. a. beeinflusst durch:
- individuelle Bisssituation
- Knirschen oder Pressen (Bruxismus)
- Materialstärke und Oberflächenqualität
- Mundhygiene
- regelmäßige Kontrollen
Komposit ist minimalinvasiv und im Vergleich zu Keramik gut reparierbar. Kleinere Anpassungen oder Korrekturen können bei Bedarf schonend durchgeführt werden.
Bei erhöhter Belastung kann eine zusätzliche Schutzstrategie sinnvoll sein – beispielsweise eine individuell angepasste Schiene.

Wenn Sie über eine additive Formkorrektur nachdenken
Nicht jede ästhetische Unregelmäßigkeit benötigt eine umfangreiche Versorgung. Manchmal ist eine präzise, minimalinvasive Ergänzung sinnvoll – manchmal nicht.
In der Beratung klären wir:
- ob die Injection Technique medizinisch sinnvoll ist
- ob funktionelle Aspekte berücksichtigt werden müssen
- welche Alternativen bestehen
- wie stabil das Ergebnis langfristig sein kann

Nächster Schritt
Wenn Sie eine präzise Einschätzung Ihrer Situation wünschen:
Häufige Fragen
Kurz beantwortet – verständlich und realistisch.
Was ist die Injection Technique genau?
Ein additives Verfahren, bei dem mit einer Schablone ein fließfähiges Komposit präzise auf den Zahn aufgebracht wird.
Wird Zahnsubstanz abgeschliffen?
In der Regel nicht. Die Technik ist additiv und substanzschonend.
Wie lange hält das Ergebnis?
Das hängt von Belastung und Pflege ab. Bei guter Einbindung sind langlebige Ergebnisse möglich.
Ist die Behandlung schmerzhaft?
Meist ist keine oder nur minimale Anästhesie notwendig.
Kann man die Ergänzung später verändern?
Ja. Komposit ist reparierbar und anpassbar.
Ist die Technik eine Alternative zu Veneers?
In bestimmten Situationen ja. Bei größeren Veränderungen sind Veneers oft sinnvoller.
Eignet sich die Methode bei Knirschen?
Nur nach funktioneller Einordnung. Gegebenenfalls ist eine Schutzschiene sinnvoll.
Wie lange dauert die Behandlung?
Je nach Umfang meist eine Sitzung.
Wirkt das Ergebnis künstlich?
Ziel ist eine harmonische, natürliche Integration – keine überzeichnete Veränderung.
Kann man damit Zahnlücken schließen?
Bei kleinen Lücken ja – sofern die Bisssituation stabil ist.
Ist die Methode reversibel?
Da keine gesunde Substanz entfernt wird, ist sie grundsätzlich schonend und gut anpassbar.
Was kostet eine Injection Technique?
Das hängt vom Umfang ab. In der Beratung erhalten Sie eine transparente Einschätzung.
